Dentiste CAUDRY 59540 Cabinet dentaire du Dr Dominique RENARD
Dentisterie Esthétique, Implantologie, Parodontologie
Accueil
Faites connaissance
Traitements
Equipement du cabinet
Urgences
Fiches infos
Nos vidéos
Contactez-nous
RDV en ligne
Questionnaire pré-RDV
Accueil
Faites connaissance
Traitements
Equipement du cabinet
Urgences
Fiches infos
Nos vidéos
Contactez-nous
RDV en ligne
Questionnaire pré-RDV
Dentisterie Esthétique, Implantologie, Parodontologie
Dentiste CAUDRY 59540 Cabinet dentaire du Dr Dominique RENARD
37 Rue de Cambrai
59540
Caudry
+33327850409
Fiches infos
La Tomographie volumétrique à faisceau conique : Cone beam CBVT
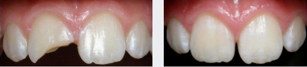
Cas clinique : Dentisterie Adhésive / Dentisterie Esthétique
Cas clinique : Traitements endodontiques
Cas clinique : Prothèse fixée conventionnelle : Couronnes et bridges
Cas clinique : Les implants dentaires
Si vous passez vos vacances à l’étranger...
Les concentrations en fluor des eaux minérales
Le syndrome d'apnées obstructives du sommeil (saos)
Vrai ou faux ?
Qu'est-ce que le prf ?
Les traitements orthodontiques pour adultes
Praticiens et patients, tous éco-responsables !
VOIR TOUTES LES FICHES
Dentiste CAUDRY 59540 Cabinet dentaire du Dr Dominique RENARD
37 Rue de Cambrai
59540
Caudry
+33327850409
Politique de confidentialité et charte cookie
Mentions légales
Conditions Générales Utilisation
Rechercher dans le blog Blog
Création par
Connexion
Vidéo en cours de lecture